치주질환 치주염 치은염 풍치
- 건강
- 2022. 7. 21. 22:39
우리가 흔히 알고있는 잇몸병, 잇몸질환은 치주질환을 이야기 하는 것인데요 오늘은 치주질환에 속하는 치은염, 치주염에 대해서 포스팅하려 합니다. 얼마 전에 임플란트를 1개가 드디어 완공되었습니다. 1년의 잇몸 공사 끝에 1개의 임플란트를 심었습니다. 이유는 풍치때문이었는데요. 임플란트 하기에는 제가 참 젊은 나이라고 생각했는데 얼마나 놀랐던지요. 사실 임플란트는 60대나 되어야 하는 것이라 생각했는데 생각보다 의사 선생님께서 냉정하게 말씀하셨어요.

"치주염입니다. 이대로 두시면 뼈가 녹아서 임플란트조차 할 수가 없게됩니다. "
"그냥 좀 가끔 가다 씹을때 아플 뿐인데 ...
그냥 좀 피곤하면 잇몸에서 피가 좀 났을 뿐인데...
쌩 어금니를 뺀다고요???"
#치주질환이란?
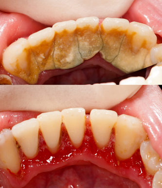
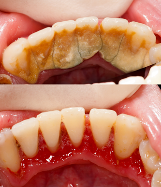
치주 질환은 주로 치아를 둘러싸고 지지하는 잇몸과 뼈의 감염과 염증의 결과입니다. 치은염이라고 하는 초기 단계에서는 잇몸이 부어오르고 붉어지며 피가 날 수 있습니다. 치주염이라고 하는 더 심각한 형태의 경우 잇몸이 치아에서 빠지고 뼈가 손실될 수 있으며 치아가 느슨해지거나 빠질 수도 있습니다. 치주질환은 주로 성인에게 많이 나타납니다. 치주질환과 충치는 조기에 발견하고 치료하는 것이 치아를 오래도록 보존하는 방법입니다.

통계적으로 30세 이상 성인의 47.2%가 어떤 형태의 치주 질환을 가지고 있습니다. 저처럼 붓거나 피가 나고 씹을 때 통증이 느껴진다면 면역력이 약해진거겠거니 생각하지 마시고 하루라도 빨리 치과에 가시기 바랍니다. ㅠ.ㅠ
치주질환은 나이가 들수록 증가하며 65세 이상 성인의 70.1%가 치주질환을 갖고 있다고 합니다.

#치주질환 원인
구강 내 세균이 치아 주변 조직을 감염시켜 치아 주변에 염증을 일으켜 치주 질환을 유발합니다. 박테리아가 치아에 충분히 오래 머물면 플라그라고 하는 막을 형성하고 결국 치석으로 굳어지는 치석을 형성합니다. 치석 축적은 잇몸선 아래로 퍼져 치아를 청소하기 어렵게 만듭니다.
#치주염의 단계
치주염은 염증으로 시작하여 시간이 지나면서 악화됩니다.

1. 잇몸 염증(치은염)
치주염은 치은염 으로 알려진 잇몸 염증으로 시작됩니다 . 치은염의 첫 징후 중 하나는 이를 닦거나 치실을 사용할 때 잇몸에서 피가 나는 것입니다.
치아에 약간의 변색이 나타날 수도 있습니다. 이것을 플라그라고 합니다. 플라그는 치아에 박테리아와 음식물 찌꺼기가 쌓이는 것입니다. 박테리아는 항상 입안에 존재하지만 조건이 극적으로 증가할 때만 유해합니다. 이는 칫솔질이나 치실을 사용하지 않거나 칫솔질을 규칙적으로 하지 않을 때 발생합니다.
2. 초기 치주질환
치주염의 초기 단계에서는 잇몸이 치아에서 벌어지고 헐거워지며 잇몸과 치아 사이에 작은 주머니(치주낭)가 형성됩니다. 치주낭에는 해로운 박테리아가 있습니다. 면역 체계가 감염과 싸우려고 하고 잇몸 조직이 치아에서 벌어지기 시작합니다. 양치질과 치실 사용 시 출혈이 있을 수 있으며 뼈가 저처럼 녹을 수 있습니다.
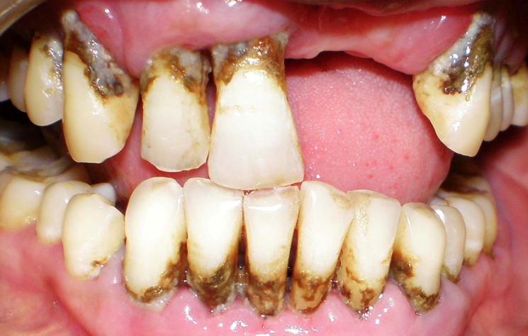
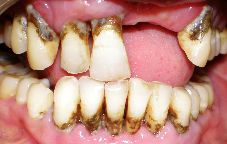
3. 중등도의 치주질환
중등도의 치주질환으로 진행하게 되면 치아 주변의 출혈과 통증, 잇몸 퇴축을 경험할 수 있습니다. 치아가 뼈 지지력을 잃고 느슨해지기 시작합니다. 감염은 또한 몸 전체에 염증 반응이 일어나 열이나 통증을 동반할 수 있습니다.
4. 진행된 치주질환
진행된 질병에서는 치아를 제자리에 고정시키는 결합 조직이 악화되기 시작합니다. 잇몸, 뼈 및 치아를 지지하는 기타 조직이 파괴됩니다. 치주염이 진행된 경우에는 씹을 때 심한 통증, 심한 구취, 입냄새가 날 수 있습니다. 치아를 보존하기 힘들수 있어요. 저처럼 쌩니를 뽑아야 하는 경우가 생깁니다.


#치주질환이 있을 때 증상
- 지속적인 구취
- 잇몸이 붉거나 부어오름
- 아프거나 피가 나는 잇몸
- 씹을 때 잇몸 통증
- 치아 흔들림
- 시리거나 민감한 치아
- 치아와 사이가 벌어진 잇몸
- 입을 다물었을 때 치아가 서로 맞물리는 방식의 변화
#치주질환이 자주 발생하는 요인(위험 요소)
- 흡연
- 제 2형 당뇨병
- 비만
- 구강 위생 불량
- 스트레스
- 유전
- 고르지 않은 치열
- 기저 면역 결핍증(예: AIDS), 백혈병
- 구강 건조를 유발하는 약물 복용
- 부정교합
- 임신 또는 경구 피임약 사용과 같은 여성 호르몬 변화(월경, 임신, 페경)
#치주염의 합병증
치주염을 치료하지 않으면 턱뼈를 포함한 치아의 지지 구조가 파괴될 수 있습니다. 치아가 헐거워지거나 빠지거나 발치가 필요할 수 있습니다. 치주염의 다른 합병증은 다음과 같습니다.
- 고통스러운 농양
- 식사를 방해할 수 있는 치아 이동
- 잇몸 퇴축 및 치아 뿌리 노출
- 저체중아 및 자간전증 을 포함한 임신 중 합병증의 위험 증가
- 심장 질환 , 호흡기 질환 및 당뇨병 의 위험 증가
#치주질환의 예방 및 치료
치은염은 좋은 구강 위생과 정기적인 치아 스케일링으로 조절 및 치료할 수 있습니다. 6개월에 한번 정도 해주면 좋습니다. 이제 6개월에 1회는 의료보험에 적용도 되니 만원 정도의 비용으로 스케일링이 가능합니다. 더 심각한 형태의 치주 질환의 경우에는 잇몸 아래 치아 뿌리 표면의 깊은 세척, 경구로 복용하도록 처방되거나 잇몸 바로 아래에 주입하는 약물, 때로는 교정 수술이 포함될 수 있습니다.
- 불소 치약으로 하루에 두 번 양치하세요.
- 양치질에 더 효과적일 수 있는 전동 칫솔 사용하시기 바랍니다.
- 플라그를 제거하기 위해 적어도 하루에 한 번 치실을 사용하세요.
- 스케일링을 위해 적어도 일년에 두 번 치과를 방문하세요.
- 금연하세요.
- 항생제
상태가 심각한 경우에는 지속적인 잇몸 감염을 막기 위해 항생제 함께 처방합니다. 항생제는 구강 세척제, 젤 또는 경구 정제 또는 캡슐 형태가 있습니다. - 치주낭이 계속적으로 사라지지 않는 경우 수술을 권장할 수 있습니다.
#치주염 수술
칫솔질과 치실 사용이 불가능한 부위에 염증이 지속되면 치과 의사는 잇몸 아래 침전물을 청소하기 위해 플랩 수술이라는 수술 절차를 권합니다. 마취 하에 잇몸을 가르고 염증을 제거하여 치아 뿌리를 깨끗하게 소독합니다. 그런 다음 잇몸을 제자리에 다시 봉합합니다. 뼈 손실이 있는 경우 손실된 뼈를 재생하기 위해 피판 수술과 동시에 뼈 이식(치조골 이식)을 할수도 있습니다.
올바른 양치법
저 같은 경우에는 왼쪽 제일 안쪽 어금니 뼈가 많이 녹아서 치조골 이식을 하고 임플란트를 한 케이스인데요. 이 자세한 후기는 담에 포스팅 할게요. 정말 임플란트 쉬운게 아니네요. 1개 하는데 1년이 걸리다니 ㅠ.ㅠ
"치아 !! 건강할 때 잘 관리하셔야 합니다."

인후염 구내염 예방 소금물 가글의 효과
집사부일체에 나왔던 이승기의 모닝루틴 중 아침, 저녁으로 이승기가 하던 소금물 가글의 효과에 대해서 알아보고자 포스팅을 합니다. 소금물로 가글하는 방법은 굉장히 간단합니다. 30초 정도
lifeyolo.tistory.com
'건강' 카테고리의 다른 글
| 담낭 용종 원인 유형 수술 방법 (16) | 2022.07.26 |
|---|---|
| 물은 언제 마시는 것이 가장 좋을까요? 하루 물 섭취 권장량 (31) | 2022.07.25 |
| 항노화 식품 중 단연 으뜸 양태반의 효능, 부작용 (6) | 2022.07.11 |
| 토마토 효능 및 보관법 실온보관? 냉장보관? 공복에 토마토? (8) | 2022.07.11 |
| [약산성 샴푸] 탈모 예방 헤드웍스 샴푸 , 카페인 샴푸 후기 (13) | 2022.07.09 |
이 글을 공유하기






